* Sommer / Juli 2014 *
 

Am 15.07.2014 waren wir mit Maxi in der Kleintierpraxis in Burgdorf. Sie weigerte sich seit Tagen zu fliegen ...

Freitagabend (11.07.) ist Maxi von oben die Treppe runter und direkt in die geöffnete Voliere geflogen. Es ist eine schmale Tür, vielleicht hat sie sich dabei verletzt?! Uns ist aber nichts weiter aufgefallen.

Samstagmorgen öffnete ich die Voliere und der erste Weg von Coco und Maxi ist immer in die Küche oben auf den Schrank. Maxi schaffte es nicht auf den Schrank, sie flog auch ziemlich tief und landete neben der Spüle. Hab sie dann auf den Finger genommen, nach oben gesetzt und mir nichts weiter dabei gedacht.

Maxi flog dann zurück ins Wohnzimmer auf die Sofalehne. Später ist Coco die Treppe hochgeflogen, normalerweise fliegt Maxi sofort hinterher, doch sie blieb unten. Hab sie gerufen, aber sie kam nicht. Den Samstag über flog sie nur sehr ungern und wenn, dann nur kurze Strecken. Sie konnte nur gerade fliegen, schaffte es nicht, in die Höhe zu kommen. Ansonsten verhielt sie sich völlig normal und tobte mit Coco auf dem Sofa herum, zwar nicht ganz so wild, aber man sah ihr auch nichts weiter an.

Sie streckte auch die Flügel in die Luft oder seitlich aus, so wie es die Vögel immer mal tun. Aber irgendwie saß der rechte Flügel minimal anders als links. Ich dachte an eine Zerrung/Verstauchung/Prellung oder ähnliches. Klick

Montag wollte sie gar nicht mehr fliegen, schaute immer nur.

Dienstag sind wir dann zum Doc gefahren. (Foto von Maxi kurz bevor wir losfuhren)

Maxi wurde mit einem Handtuch gepackt, dabei brüllte sie lautstark und wollte auch Frau Dr. Völker beißen. Aber bei diesem berühmten Griff um den Hals hat Vogel ja keine Chance zu beißen. Dann wurde sie erstmal am Bauch abgetastet und als dicker Vogel betitelt. Maxi war ja schon immer viel dicker/träger als Coco.

Dann ging es zum Röntgen. Bisschen warten und schon wurde Maxi zurückgebracht, ab in den Käfig und etliche kleine Daunenfederchen flogen herum. Maxi war während des Festhaltens und Röntgens böse und sauer, meinte Frau Dr. Völker.

 

Danach wurden uns die Röntgenbilder genauestens erklärt.

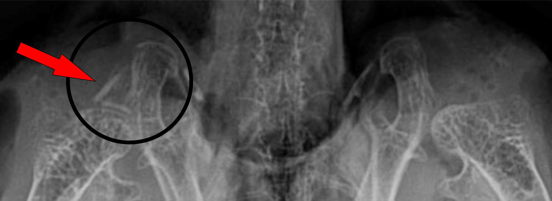
Flügel sind nicht verletzt, aber im Schulterbereich/Gelenk ist ein abstehendes Stückchen zu sehen. (Sehne, Band, Knochen oder so)

Es soll wohl auch sehr schmerzhaft sein. Maxi bekommt nun 1x täglich 0,4 ml Metacam (gegen Schmerzen und Entzündungen). Sie soll möglichst die nächsten Tage nicht fliegen und sich insgesamt schonen.

Nach ca. 2 Wochen mit leichtem Flugtraining anfangen, falls sie nicht vorher schon wieder von allein fliegt.

 

seitliche Aufnahme ...

liegend auf dem Rücken ...

hier im Schulterbereich/Gelenk ist ein abstehendes Stückchen zu sehen

 

ältere Fraktur

 

Ansonsten ist sie lt. Röntgenbild für ihr Alter (20 Jahre) ein gesunder Vogel.

Leicht vergrößerte Leber, Rachitis, minimaler Schatten im Lungenbereich, aber all das braucht nicht behandelt zu werden. Ihr Magen war wieder voller Grit (Coco hat ja nie Grit im Magen). Schnabel, Füße sind OK und erstklassiges Gefieder!

Allerdings hat sie eine ältere Fraktur im Schwanzbereich. Das muss passiert sein, als sie vor Jahren mal hinter einen Schrank gefallen ist. Weiß gar nicht mehr, wann das war. Kann mich nur erinnern, dass wir einen Eckschrank abbauen mussten, um Maxi zu befreien. Sie hatte sich einige Federn abgebrochen, aber flog sofort los und verhielt sich auch völlig normal.

 
Zu Hause angekommen gab es Kartoffelbrei.

Coco und Maxi futterten ganz gierig. Coco  MUSS  nach Kochfutter immer noch einige Körnchen futtern und sieht dementsprechend aus.

Danach wurde gepennt, Maxi war auch ziemlich geschafft.

 

Coco ist immer noch gluckig und hat schon wieder so eine kleine Schwellung (siehe letztes Jahr). Bestimmt wird noch ein Ei gelegt. Frubiase gebe ich vorsorglich schon seit einigen Wochen.
 
Nachmittags/Abends war Maxi "munter", machte aber auch keine Anstalten zu fliegen. Wenn Coco flog, wartete sie mit gehobenem Fuß auf mich, damit ich sie dorthin tragen konnte, wo Coco sich gerade aufhielt.
Am nächsten Tag wurde Maxi mutig und flatterte vom Fenstersitz auf den Boden, wollte sicher weiter oben auf dem anderen Sitz landen. Dann musste ich sie in ihr Schrankfach setzen, damit sie mit ihren Holzkugeln spielen kann. Das ist IHR Fach, ganz selten mal darf Coco auch dort hin.
 

Wir waren mal wieder eine Woche in Büsum. Maxi flog nicht sehr viel, sondern wartete auf mich oder auf Frank, um getragen zu werden.

Anfang August konnte sie schon wieder von weiter unten auf einen hohen Schrank fliegen. Aber sie ist noch vorsichtig, lässt sich immer noch gern tragen. Die Treppe hinauf oder hinunter ist sie noch nicht geflogen, bisher hab ich sie immer hoch/runtergetragen.  Abwarten, ob sie demnächst mal von ganz allein die Treppe hochfliegt. (Stand vom 6.8.14)

Am 13.8. ist Maxi die Treppe hochgeflogen! Ihr Schulterbereich ist wohl nun wieder OK!

nächste Seite